Khám phá » Thế giới muôn màu
Cậu bé mang hàm răng "ma cà rồng"
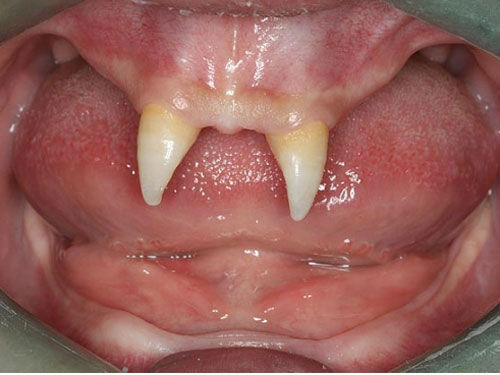
(18:04:43 PM 22/12/2012)Wang Pengfei, 16 tuổi, sống tại thành phố Trùng Khánh, Tây Nam Trung Quốc. Sinh ra đã mắc phải một chứng bệnh lạ, Pengfei có rất ít tóc và chỉ mọc duy nhất 2 chiếc răng nhọn hoắt.
| (34).jpg) | 
| Cậu bé Trung Quốc có hàm răng phát triển lạ kỳ. | 
Bà Wang Hui - mẹ của Pengfei đã đưa cậu đến bệnh viện địa phương để kiểm tra y tế hồi đầu tuần. Bà Wang cũng đã nhiều lần đưa con đi khám với mong muốn sẽ có cách chữa trị hàm răng cho con trai nhưng đều không nhận được kết quả khả quan.
Theo các bác sĩ ở bệnh viện Tây Nam, Pengfei chỉ có thể phẫu thuật khi ở tuổi trưởng thành. Chi phí cho ca phẫu thuật này là khoảng 70.000 đến 80.000 nhân dân tệ (tương đương 235 đến 270 triệu đồng).
Bà Wang vô cùng lo lắng về tình trạng của con trai, cậu càng ngày càng thu mình vào thế giới riêng, cô lập với mọi người trong suốt thời gian niên thiếu.
|  | 
| Hình chụp X-quang của Wang Pengfei. | 
Wang Pengfei đã tấn công bạn bè cùng lớp khi họ nhìn chằm chằm hoặc thì thầm bàn tán về cậu. Cậu bé rất mất tự tin với tình trạng của mình, thậm chí cậu còn không bao giờ chịu chụp hình.
Mẹ của Pengfei cho biết: “Tôi rất lo lắng, thằng bé không có bạn bè và dần dần nhận ra rằng nó khác với những đứa trẻ khác”.
Bạn cũng có thể quan tâm:
- 
                                                
                                                 Phát hiện vỏ cây hấp thụ khí metan, có thể giúp chống biến đổi khí hậu Phát hiện vỏ cây hấp thụ khí metan, có thể giúp chống biến đổi khí hậu
- 
                                                
                                                 Loài cua khổng lồ nặng 4kg biết bóc tách vỏ dừa Loài cua khổng lồ nặng 4kg biết bóc tách vỏ dừa
- 
                                                
                                                 Xuất hiện quái vật 80 triệu tuổi đầu cá sấu, mình cá heo Xuất hiện quái vật 80 triệu tuổi đầu cá sấu, mình cá heo
- 
                                                
                                                 Loài "quái vật bay" chưa từng thấy ở Liêu Ninh - Trung Quốc Loài "quái vật bay" chưa từng thấy ở Liêu Ninh - Trung Quốc
- 
                                                
                                                 Côn Đảo là vùng bảo tồn rùa biển quan trọng của Việt Nam, khu vực và toàn cầu Côn Đảo là vùng bảo tồn rùa biển quan trọng của Việt Nam, khu vực và toàn cầu
- 
                                                
                                                 Rùng mình với "sinh vật đến từ địa ngục" phát hiện ở Úc Rùng mình với "sinh vật đến từ địa ngục" phát hiện ở Úc
- 
                                                
                                                 Nguy cơ biến đổi khí hậu gây tê liệt kênh đào Panama Nguy cơ biến đổi khí hậu gây tê liệt kênh đào Panama
- 
                                                
                                                 Những con chim ẩn mình… chờ sống Những con chim ẩn mình… chờ sống
- 
                                                
                                                 Cây mai vàng hơn 50 năm tuổi được chốt giá 6 tỉ đồng Cây mai vàng hơn 50 năm tuổi được chốt giá 6 tỉ đồng
Bài viết mới:
- Vì sao TP HCM rơi vào nhóm 'thành phố lún nhanh nhất thế giới'? (31/10/2025)
- Thực hiện chuyển đổi xanh ở Việt Nam là chià khóa cho bảo vệ môi trường bền vững và ứng phó có hiệu quả với biến đổi khí hậu (29/10/2025)
- Cảnh báo “sự cố kép” về môi trường (29/10/2025)
- Siemens ra mắt nghiên cứu mới trước thềm COP30 (29/10/2025)
- Cầu Câu Lâu ở Đà Nẵng có nguy cơ bị lũ cuốn trôi (28/10/2025)
- VACNE cùng đội ngũ trí thức của VUSTA đóng góp quan trọng trong 40 năm đổi mới của đất nước (28/10/2025)
- Vì sao đỉnh Bạch Mã ở Huế có lượng mưa lớn tới 1.740mm trong 1 ngày? (28/10/2025)
- Đại biểu đề nghị người xả nhiều rác phải trả nhiều tiền để nâng cao ý thức phân loại rác tại nguồn (28/10/2025)
- Vì sao TP HCM ngày càng ngập nặng? (28/10/2025)
- Thượng Hải đối mặt nguy cơ bị chìm dần do sụt lún, nước biển dâng (25/10/2025)
 
                                                                    Thu hồi chứng nhận kỷ lục của hồ Lắk
(Tin Môi Trường) - Viện Kỷ lục Việt Nam quyết định thu hồi chứng nhận kỷ lục "hồ nước ngọt tự nhiên trên Tây nguyên có diện tích lớn nhất Việt Nam" của hồ Lắk.
 
                                                                    Vì sao TP HCM rơi vào nhóm 'thành phố lún nhanh nhất thế giới'?
(Tin Môi Trường) - Khai thác nước ngầm, nền đất yếu, đô thị hóa nhanh với các công trình tải trọng lớn khiến TP HCM rơi vào nhóm thành phố sụt lún nhanh nhất trên thế giới.
.jpg) 
                                                                    Những cây cổ thụ đầu tiên của huyện Sơn Dương, tỉnh Tuyên Quang được vinh danh cây Di sản Việt Nam
(Tin Môi Trường) - 2 cây Đa và 1 cây Sanh hơn 300 năm ở xã Tân Trào được cộng đồng địa phương tổ chức đón Bằng công nhận Cây di sản Việt Nam vào ngày ngày 24/2/2025.
.jpg) 
               
         
                 
              
              
             
 Trợ giúp |
 Trợ giúp | Site map |
 Site map |



 
                 
                         




























